Neidentificirani muškarac se borio s impotencijom, a tijekom seksa je u otvor svog penisa ubacivao razne predmete kako bi ostao u erekciji.
Ali stvari su krenule po zlu tijekom jedne od ovih seansi kada je partner pokušao upotrijebiti slamku limenke izolacijske pjene kako bi mu penis ostao uspravan. U stručnom radu objavljenom u Urology Case Report ne navodi se spol partnera, ali se detaljno opisuje kako je do došlo do bizarne ozljede.
Partner je ugurao slamku u penis 45-godišnjaka, a potom, tvrdi muškarac, slučajno pritisnuo ventil na vrhu limenke, ubrizgavši pjenu unutar penisa.
Pjena, koja se inače koristi za izolaciju doma, stvrdnula se i nesretni impotentni muškarac je ostao s određenom masom u unutrašnjosti penisa i mjehura.
Čekao je tri tjedna prije nego što je zatražio liječničku pomoć. Na liječenje je otišao tek nakon što je bol postajala sve jača, a mokrenje bilo otežano. Kad je stigao u bolnicu, mokrio je krv.
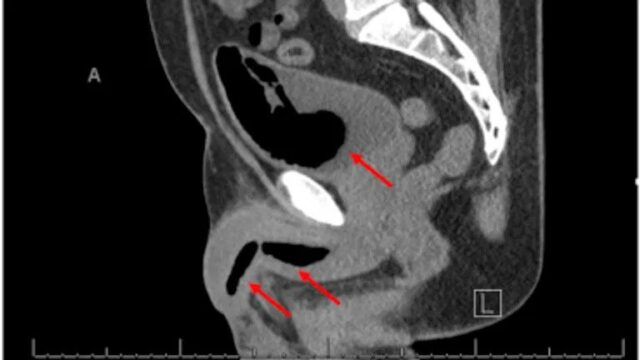
Skeniranjem su pronađene različite mase stvrdnute pjene od kojih su neke bile dugačke gotovo 11 centimetara. Sciencedirect.com
Urolozi su za Mail Online rekli da ‘sondiranje’, gdje muškarci ubacuju različite predmete u otvor svoje uretre, postaje sve češći ‘kućni lijek’ među impotentnim muškarcima, uspkros ozbiljnim zdravstvenim rizicima.Tekst se nastavlja ispod oglasa
Medicinsko osoblje uspjelo je izvući ukrućenu pjenu iz muškarčeva mjehura tijekom operacije, ali mase koje se nalaze u penisu pokazale su se problematičnijima.
Koristeći specijalizirane alate, liječnici su pokušali usisati pjenu i izvući je kroz otvor penisa muškarca, ali to se pokazalo nemogućim.
Postalo je očito da je muškarac patio od strikture uretre – stanja u kojem uretra, cijev koja izvodi urin iz penisa, postaje puna ožiljaka, uzrokujući njeno sužavanje.
Ovo tkivo s ožiljcima učinkovito je usidrilo pjenu, zbog čega ju je bilo nemoguće izvući.Tekst se nastavlja ispod oglasa
Liječnici su bili prisiljeni napraviti perinealnu uretrostomiju, – napravili su novi otvor između skrotuma i anusa, kako bi se uklonili preostali fragmenti.
Ovaj postupak preusmjerava mlaz mokraće dalje od penisa, a nova rupa iza skrotuma služi za izbacivanje mokraće.
Nakon operacije umetnute su mu tri cijevi koje su mu omogućile mokrenje i drenažu tekućine iz zahvata.
Nakon operacije nisu utvrđeni nikakvi problemi i očekuje se da će muškarac biti podvrgnut daljnjoj operaciji za popravak uretre, ali tek nakon psihijatrijske procjene.Tekst se nastavlja ispod oglasa
Pacijent, koji je trenutno beskućnik, kvalificirat će se za procjenu samo ako ‘postigne stabilno životno okruženje’, napisali su autori iz New Yorka i Pennsylvanije.
Rekli su da je rijetkost da se predmeti zaglave u penisu, ali su zabilježeni i drugi predmeti kao što su slamke, štapići s pamučnim vrhom, baterije, čavli i kabeli.
Razlozi za ubacivanje mogu varirati od psihičkog stanja, preko seksualnog zadovoljstva, do toga da zatvorenici to namjerno čine kako bi dobili privremeno puštanje iz zatvora radi liječenja, rekli su urolozi.
Dodali su da oni koji ubacuju predmete u uretru obično ponavljaju svoj prijestup i često im je potrebna psihijatrijska pomoć.



































